Problem-free working
• Rotatable guide wire
• Quick and precise to operate torquer
• High precision in targeted cannulation of bile ducts
• Rapid location of stenosed bile duct outlets
• Also suitable for cannulation of the papilla
New
Special features
• Can be used with a catheter or papillotome
• High contrast in fluoroscopy
• Hydrophilic coating with high lubricity
• Less kinking due to shortening of the flexible tip (higher precision)
Research
Case study
1. Targeted cannulation of a single enlarged segmental branch in the left lobe of the liver in cases of liver metastases.
2. Targeted selective cannulation of both hepatic ducts in cases of Klatskin tumors.
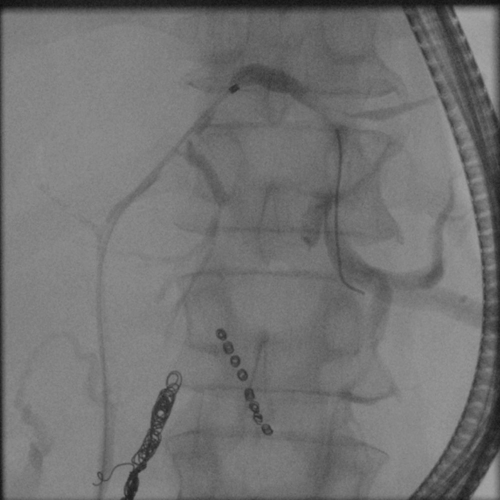
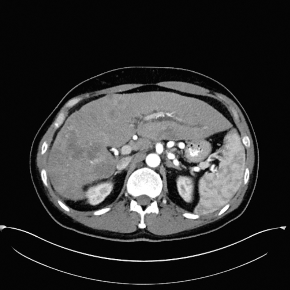
Case 1
Case 1
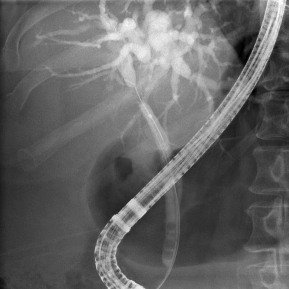
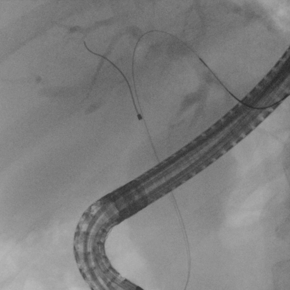
Case 2
Case 2
SIMULATED ROTARY MOTION
Corkscrew principle
The Smart-Wire guide wire developed by PD Dr. med. habil. Jochen Weigt functions similarly to a corkscrew. The 3D tip allows for movement in all directions.
